Slide background ARTS ARTERIOLOSCLEROSIS BIOMARKER Download Now
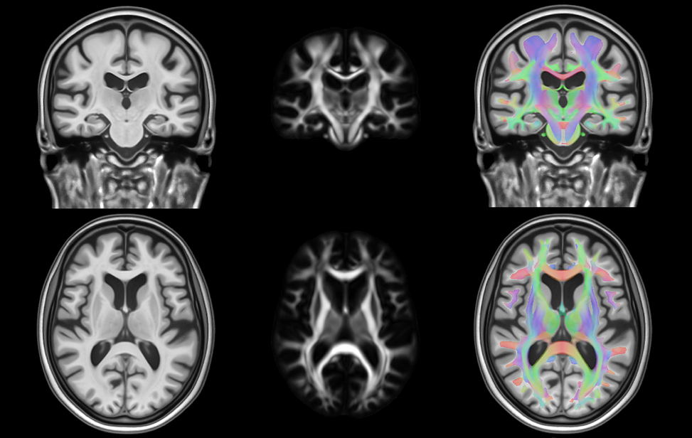
Slide background IIT Human Brain Atlas v.5.0 Anatomical Templates DTI Template HARDI Template Gray Matter Labels Multi-Layer White Matter Labels Download Now
Slide background Wondering which DT template to use? Find Out More
Slide background regionconnectTM
live: Connectivity
Try it Now
Slide background Postmortem MRI in aging research Find Out More

ABOUT MRIIT

The mission of the Magnetic Resonance Imaging Lab at the Illinois Institute of Technology (MRIIT for short; pronounced 'emrit ) is to develop in-vivo and ex-vivo MRI methods and neuroimaging resources, and to apply these technical developments towards the diagnosis and monitoring of brain disease.

MRIIT is home of the IIT Human Brain Atlas (young adult atlas), the MIITRA Atlas (older adult atlas), and the ARTS biomarker. All resources are publicly available.


People Contacts

RECENT NEWS

Presentations [Nov 2022]

Khalid Saifullah and Rasheed Abid delivered two oral presentations at the RSNA conference

RSNA 2022

New Paper [Oct 2022]

Development of high quality T1-weighted and diffusion tensor templates of the older adult brain in a common space

Neuroimage 2022;260:119417

New Paper [Sep 2022]

Limbic-predominant age-related TDP-43 encephalopathy neuropathological change (LATE-NC) is associated with lower R2 relaxation rate: an ex-vivo MRI and pathology investigation

Neurobiol Aging 2022;117:128-138

Seminar [Sep 2022]

Dr. Arfanakis delivered a seminar at the University of Illinois at Urbana-Champaign

Carle Illinois Advanced Imaging Center 2022

New Conf Paper [Aug 2022]

End-to-end task-guided refinement of synthetic images for data efficient cerebral microbleed detection

ICPR 2022;2756-2763

Presentation [Jul 2022]

Khalid Saifullah delivered an oral presentation on MRI-based prediction of neurofibrillary tangles at the Alzheimer's Association International Conference

AAIC 2022

Presentation [Jul 2022]

Dr. Arfanakis delivered an invited presentation at the International Society for Neurovascular Diseases

ISNVD 2022

Presentations [May 2022]

Dr. Yingjuan Wu and Khalid Saifullah delivered two oral presentations at the ISMRM conference in London, UK

ISMRM 2022

CURRENT PROJECTS

    Current research at MRIIT focuses on: a) human brain atlases, and b) multi-modal in-vivo and ex-vivo MRI in aging and dementia. Just a few examples of our projects are:

  • Development of brain atlas resources for neuroimaging research
  • Development of translational ex-vivo brain MRI techniques
  • Development of MRI-based biomarkers of age-related neuropathology
  • Multi-modal in-vivo MRI investigation of aging

  • Publications

IMAGES